บุหรี่ไฟฟ้ากับเยาวชน อันตรายระยะยาว
บุหรี่ไฟฟ้าซ่อนสารเคมีมากมาย ทำปอดอักเสบ ต้นเหตุมะเร็ง
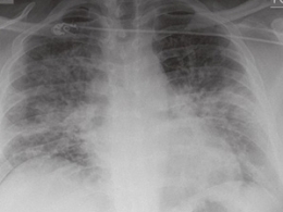
บุหรี่ไฟฟ้าซ่อนร้าย ทำลายสมองและปอด ด้วยตัวสารเคมีอันตรายมากมายทั้ง สารหนู สารโลหะหนัก และสารเคมีอื่นๆที่อยู่ในไอบุหรี่ไฟฟ้า มีขนาดเล็กกว่าฝุ่น PM2.5 ทำให้เข้าลึก ทำลายเนื้อเยื่อบุทางเดินหายใจ รวมถึงเนื้อเยื่อปอดอาจเกิดการอักเสบเฉียบพลัน หายใจติดขัด บางรายอาจต้องสอดท่อช่วยหากใจฉุกเฉิน และเมื่อบาดแผลอักเสบไปนานๆ อาจะเป็นต้นเหตุของมะเร็ง
