บุหรี่ไฟฟ้ากับเยาวชน การป้องกันเยาวชนจากบุหรี่ไฟฟ้า

น้องวัยเพียง 38 .. เป็นเหยื่อของทุกการสูบ/เสพ บุหรี่-บุหรี่ไฟฟ้า-กัญชา-กระท่อม-ยาม้า-ยาE !

การเสพติด…มันทุกทรมาน
คนอยากเลิกแต่เลิกยากเพราะ…มันทรมาน

คนนี้มาห้องฉุกเฉินแอดมิดไอซียูภาวะหายใจล้มเหลว
วินิจฉัยเป็นวัณโรคระยะลุกลาม เริ่มการรักษายาวัณโรค
กำลังรอผลวัณโรคดื้อยา
จากภาพที่หนึ่งจะเห็นว่า(ลูกศร) ปอดด้านขวามีฝ้าขาวเต็ม ทั่วปอด มีการดึงรั้งให้หลอดลมเอียง มีโพรงเต็มปอด

หลังจากเริ่มการรักษา.. น้องสัญญาว่าจะเลิกทุกอย่าง
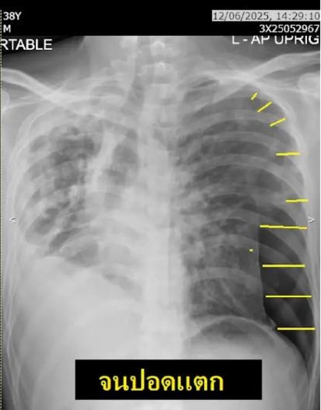
ผ่านไปหนึ่งเดือน น้องมาด้วยเรื่องปอดแตกด้านซ้าย หายใจล้มเหลว (เส้นสีเหลืองแสดงให้เห็นปริมาตรปอดที่ถูกยุบ) ญาติแจ้งว่าตรวจพบมีสารเสพติดในห้องนอน
ผู้ป่วยยอมรับว่ายังเลิกไม่ได้ …
ทีนี้สิ่งที่จะเกิดขึ้นในอนาคตกับน้องคนนี้ .. เรามาลองดู .. ชะตาชีวิตจะเป็นอย่างไรนับจากนี้ … ถึงแม้จะรักษาวัณโรคสำเร็จ

1.
ร่องรอยแผลเป็นในปอด พังผืดในปอด หลอดลมโป่งพอง ภาวะหลอดลมคด ไม่น่าจะทำให้ผู้ป่วยสุขสบาย แต่อาจจะต้องเข้าออกโรงพยาบาลด้วยปัญหาโรคปอดทางเดินหายใจ
2.
ความเสี่ยงที่จะมีภาวะปอดแตก ภาวะหายใจล้มเหลวถึงขั้นเสียชีวิต
3.
ความเสี่ยงที่จะมีภาวะปอดติดเชื้อ ภาวะหายใจล้มเหลวถึงขั้นเสียชีวิต
4.
อาการหอบเหนื่อยที่ทำให้เขาไม่สามารถประกอบอาชีพหาเลี้ยงครอบครัวได้ ต้องพึ่งออกซิเจนตลอด
5.
คุณค่าการเป็นมนุษย์ คุณค่าการเป็นผู้นำในครอบครัว คุณค่าการเป็นที่พึ่งของคนที่รัก จะสูญเสีย
6.
สภาพจิตของความล้มเหลว ที่ไม่สามารถดูแลตนเองและคนรอบข้างได้ นำไปสู่ภาวะซึมเศร้า อาจถึงความรู้สึกไม่อยากมีชีวิต


อธิษฐานและขอส่งพลังดีๆให้กับน้อง..หวังว่าอย่าเกิดเหตุการณ์ข้างบนที่ผมวาดภาพไว้…

คำถามคือ: ใครจะรับผิดชอบ กับกลุ่มประชากรเหล่านี้ ซึ่งผมเชื่อว่ามีไม่น้อย … ยอมรับว่า”การเลือกสูบ“เป็นการตัดสินใจของเราล้วน ๆ แต่

การผลักดันค่านิยมที่ถูกต้อง” และการ “ไม่ยอมรับตัวทำลายบ้านเมือง” … เป็นหน้าที่ของเราทุกคน !!

อย่าให้ภาพเหล่านี้ เกิดขึ้นกับลูกหลานเรา !!

” We Want A Fruitful Generations , Not a Fruitless..”



หมอโรคปอด และทางเดินหายใจ : หมอวินัย

แพทย์เฉพาะทาง โรคปอดและโรคทางเดินหายใจ

www.facebook.com/thaihealthlung